Congenital Diaphragmatic Hernia with Gastric Volvulus and Splenic Herniation: An Unusual Delayed Presentation in a Six- Month Child

Main Article Content

Mathayo Shadrack
Jamil Suleiman
David Msuya
Rune Philemon
Adnan Sadiq
Murad Tarmohamed
Jay Lodhia

Abstract

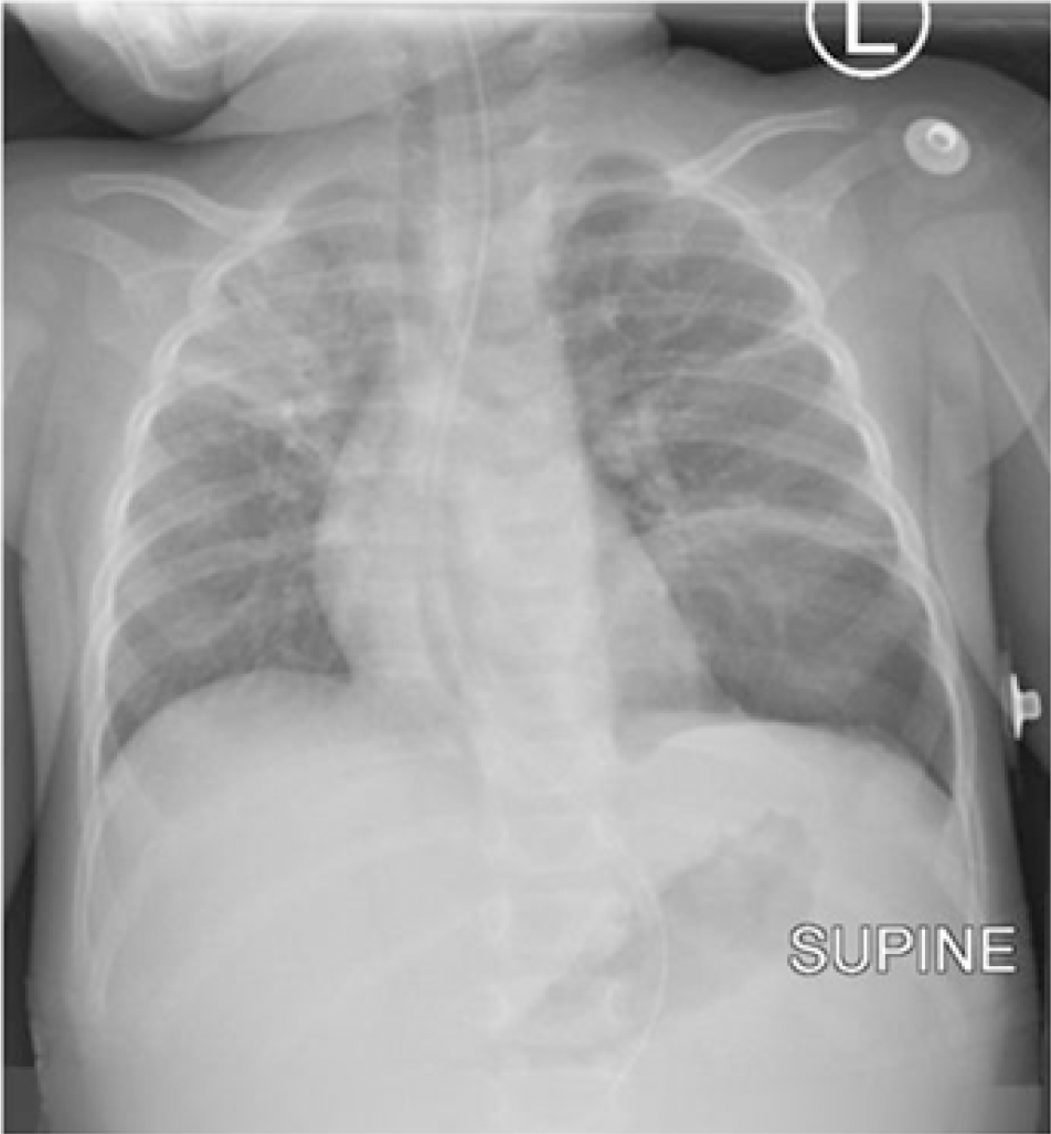
Background: Acute gastric volvulus associated with congenital diaphragmatic hernia is an uncommon disorder in infancy and a surgical emergency.
Methods: We present a six-month female baby who presented with clinical features of intestinal obstruction. Ultrasonography of the abdomen revealed gastric volvulus. The baby underwent emergency laparotomy. Gastric volvulus with splenic herniation was encountered through a diaphragmatic hernia.
Results: The defect was corrected, the stomach and spleen were mobilized into the normal anatomical position. The baby recovered well.
Conclusion: A high index of clinical suspicion and thorough radiological assessments are necessary for this life-threatening condition along with surgical correction of the abnormalities.

Article Details

Section
Case Reports