Urinary Bladder Invasive Squamous Cell Carcinoma in Juveniles

Main Article Content

Oscar Ottoman
Mohamed Muyeka
Edrick Elias
John Igenge
Magreth Magambo
Humphrey D. Mazigo

Abstract

Background: Invasive squamous cell carcinoma of the urinary bladder caused by schistosomal infection is associated with aggressive complications and a poor prognosis. In schistosomiasis-endemic areas, it primarily affects adults over the age of 40 and rarely occurs in children under 15. For the first time at our hospital, we report a case of urinary bladder carcinoma associated with Schistosoma haematobium eggs in a 13-year-old child from northwestern Tanzania, a region endemic for Schistosoma haematobium.


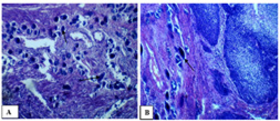
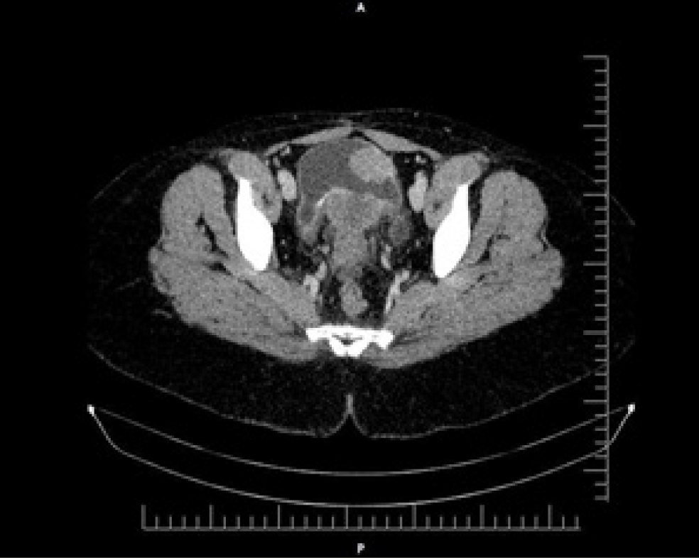
Case Presentation:  A 13-year-old girl presented with left loin pain, turbid yellow urine, and upper limb pain for over a month. Multiple evaluations, including laboratory and ultrasonographic investigations, were conducted. Ultrasound findings revealed severe enlargement of both kidneys, with the left kidney being larger than the right. A computerized tomography (CT) scan showed severe bilateral hydronephrosis and hydroureter, likely due to vesicoureteral junction obstruction. A left nephrectomy was performed; however, the patient continued to experience dysuria. During cystoscopy, a tumor was identified on the left posterolateral wall of the bladder. Surgical exploration revealed adhesion of the tumor to the uterus, bladder neck, and cervix. A cystectomy was recommended, during which part of the right ureter was removed, and the remaining portion was anastomosed to the sigmoid colon. Histopathological examination of the tissue samples revealed invasive squamous cell carcinoma (Grade 1) involving the cervix and vaginal wall. Additionally, multiple active and calcified Schistosoma haematobium eggs were observed. The patient was referred to the oncology unit for radio-chemotherapy, where she continues to receive treatment.


Conclusion: Chronic inflammatory responses associated with Schistosoma haematobium eggs in the urinary bladder walls can lead to severe complications affecting the entire urogenital system, regardless of age. These inflammatory responses may contribute to the development of squamous cell carcinoma even in young individuals.

Article Details

Section
Case Study