Evaluation of Clinical and Histopathological Diagnosis of Kaposi’s Sarcoma at Muhimbili National Hospital, Dar es Salaam, Tanzania

Main Article Content

Edrick M Elias
Amos Rodger Mwakigonja

Abstract

Background: Treatment and outcome of Kaposi’s sarcoma (KS) depend on a correct histopathological diagnosis, however, most KS cases in developing countries are diagnosed clinically without histopathological confirmation, which results in either over or under-diagnosis. Also, due to the number of histopathological mimickers in different stages of KS which include benign to fatal conditions, the histopathological diagnosis of KS is not always correct. However, the HHV-8-LANA-1 Immunohistochemical (IHC) stain is positive in nearly all KS lesions and is considered to be an important diagnostic tool to differentiate KS from its histological mimickers. This study aimed to determine the quality of Kaposi’s sarcoma diagnosis at MNH and whether it can be improved by the routine of HHV-8-LANA-1 immunohistochemical stain.
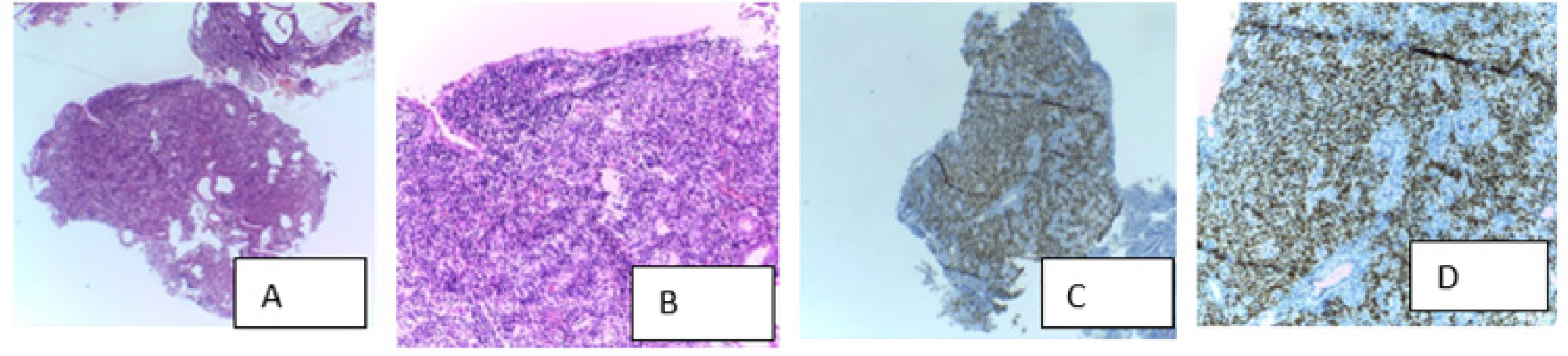
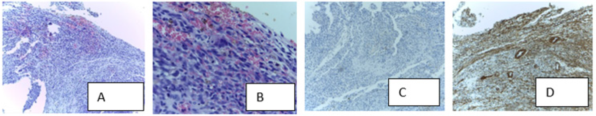
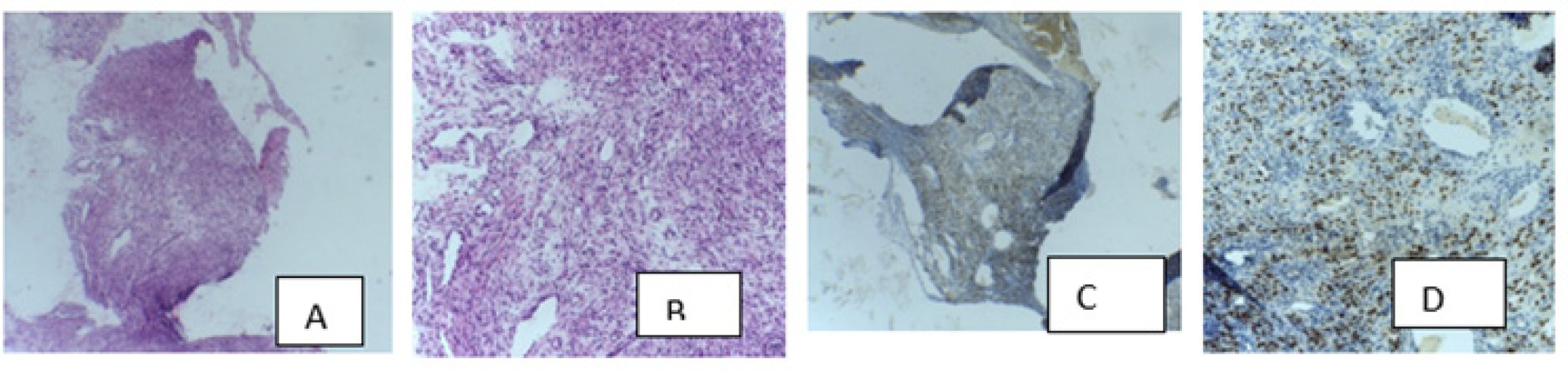
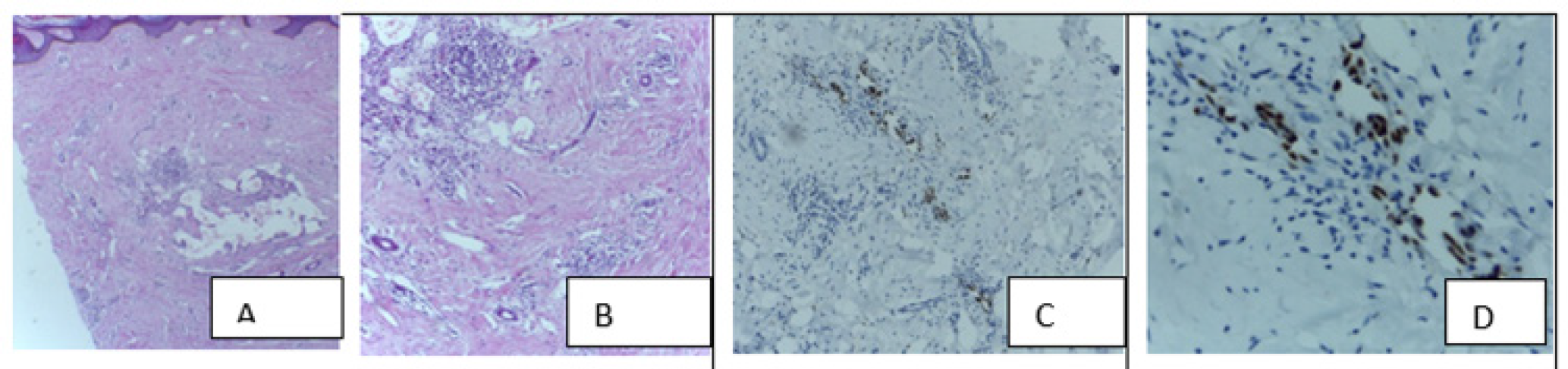
Methodology: This was a retrospective cross-sectional hospital-based study of all KS cases diagnosed either by clinical, histopathological, or both in 2018. KS was diagnosed based on H&E morphology and confirmed by HHV-8-LANA-1 immunohistochemistry. The diagnosis utility of clinical and histopathology was compared with HHV-8-LANA-1 immunohistochemistry.
Results: There was almost perfect agreement between initial and reviewed histopathology for KS diagnosis (Kappa value= 0.892, p-value=.000). The clinical diagnosis concordance rate was 61% with no agreement (Kappa value -0.123, p-value=0.102). Clinical differential diagnosis included a wide range of pathological conditions ranging from less severe inflammatory to fatal malignant conditions. There was a substantial agreement between initial histopathology and HHV-8-LANA-1 IHC for KS diagnosis (Kappa=0.70, p-value .000) with a histopathology concordance rate of 88%.
Conclusion: Histopathological examination of all clinical KS suspicions and HHV-8-LANA-1 immunohistochemistry confirmation is required since the study showed that the histopathology misdiagnosis of KS at MNH was unlikely to be the result of human error. We recommend that in every clinically suspected KS case, an adequate tissue biopsy should be taken for histopathology analysis and HHV8-LANA-1 immunostaining to avoid inappropriate treatment.

Article Details

Section
Original Articles